汕头口腔中心|智齿发炎了肿痛要拔掉吗?听听专家怎么说

很多人其实都知道智齿 , 但因为大部分的智齿都是会给我们带来炎症疼痛 , 导致许多人把智齿当成了一种牙病 , 其实智齿根本就不是一种病 。
【汕头口腔中心|智齿发炎了肿痛要拔掉吗?听听专家怎么说】
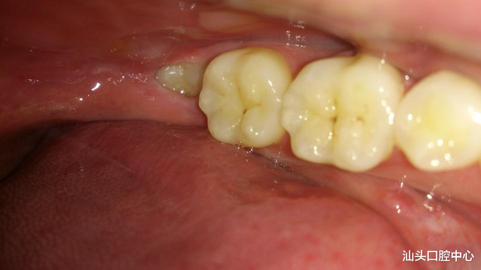
首先我们要知道智齿是怎么一回事 , 智齿和阑尾其实都算是我们人类进化的遗留物 , 阑尾是用来消化粗食纤维 , 而智齿则是利于我们咀嚼粗食纤维食物的 。 但随着我们人类的进化 , 吃的东西也越来越精细 , 下颌逐渐变短 , 下巴也开始收缩 , 原本给智齿留的位置就不够了 , 智齿的萌出就有可能打乱了现有的牙齿排列 。
而萌出不正的智齿往往伴随着炎症 , 或者影响邻牙和对牙 , 让我们痛不欲生的同时 , 其他牙齿也受到损害 , 所以医生在检查了我们的口腔后 , 对于萌出不正会影响到其它牙齿的智齿 , 都会建议拔掉 。
有些人则是不到最后一刻不低头 , 智齿发炎导致肿痛得厉害的时候 , 才急慌慌的跑到口腔医院 , 想让医生将智齿八点 。 那么 , 智齿发炎了肿痛 , 能不能拔掉呢?
汕头口腔医疗中心 , 如果智齿出现发炎肿痛的现象 , 一般是不建议拔掉的 , 因为局部浸润麻醉或神经阻滞麻醉效果不是特别好 , 在拔除智齿的过程中很容易造成局部感染的扩散 。 而且这样不仅会出血多、加重炎症 , 也会造成拔牙后愈合不好 , 可能会出现长期不愈合的干槽症的情况 。 而且拔牙后疼痛也会加重 , 无疑增加了的拔牙的痛苦 。 所以建议智齿发炎 , 先到医院冲洗上药消炎 , 等到炎症消除后再拔牙也不迟 。
经验总结扩展阅读
- 金性勇|“我们的天才儿子”爆红之后 金性勇:只想和儿子在同一个托养中心不分开
- 霍尔茨营销管理中心总结表彰大会圆满召开
- |天津本起疫情以在校学生及家庭、葬礼活动人员等为中心
- 科技娇蓝蒂美科技美肤中心
- 父母是以自我为中心的人,孩子必然也会成为一个以自我为中心的人
- 品牌以“中国品牌”为驱动 姿米国际国潮汉方研发中心正式揭牌
- 安宁快报 安宁八街中心卫生院向全国县域医共体分享经验
- 消息资讯牙缝大怎么办?看看圣贝口腔专业的修复流程再决定!!!
- 结构性调整学术美莱|梁晓健院长受邀出席立秀研修中心全面部术式研讨会,为美赋能!
- |收到疾控中心的提示短信之后,我的心情很复杂
