牙列不齐由于拥挤错位,常常会影响口腔的清洁,因而好发龋齿、牙龈炎及牙周炎等各种口腔疾患,临床症状主要是牙痛、牙龈出血及口臭等,最终造成牙齿松动、牙齿脱落等;上下牙弓关系异常,常导致咬合功能紊乱,造成颞下颌关节的弹响、疼痛,并且影响正常的张闭口运动,大大降低咀嚼功能,进而引起食物吸收及消化不良等胃肠道疾患,危害全身健康;颌骨形态及位置的异常会造成颜面部的外形畸形、严重影响容貌美观,有损个人仪表,影响择业、择偶和社交,给患者造成很大的精神和心理压力,从而使其对生活缺乏自信心,容易产生自悲和自卑的心理,影响正常生活 。
【牙列不齐矫正治疗】

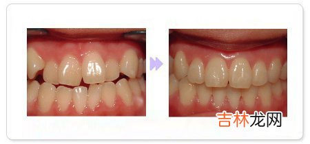
文章插图
何时是矫正治疗最佳时机?一般来说12~15岁的儿童进入青春生长发育的快速期,恒牙已萌出完全,这时治疗错?畸形可以取得事半功倍的效果,当然有不良习惯的,有影响生长发育的错?畸形者(如:反?),则要尽早开始治疗,以免影响矫正效果 。牙齿矫正也可以使青壮年、中年甚至老年人群拥有正常的发音、良好的咀嚼功能、健康的牙周组织及美观的牙齿排列状态 。因此,当代口腔正畸领域的治疗范畴包括儿童及成人矫正治疗 。
矫正治疗过程是一个牙周组织改建,牙齿重新定位的过程,疗程相对较长,一般需1~2年,固定矫治器戴入后开始难免会产生一些不适的感觉或非常轻微的疼痛,通常经过一周以后很快就能适应,整个矫正过程不会影响患者的正常生活或工作 。但是在矫正治疗过程中需要病人十分默契的配合,只有这样才有望达到最佳的矫正效果 。
经验总结扩展阅读
- 步骤「伪素颜」眼妆教学!4个步骤画出自然眼妆更轻松矫正眼型
- 怎样矫正鼻中隔偏曲
- 斜视矫正眼镜最终可以摘掉吗
- 矫正错牙合畸形的方法有哪些
- 矫正牙齿不宜太早
- BEgg细丝弓矫正技术有什么特点
- 乳牙龋坏或早失可引起哪些恒牙列异常
- 矫牙感觉自己的牙越来越突了,决定去做矫正
- 矫牙嘴突太影响颜值了,想要去做矫正
- 跳出饮食误区矫正贫血难题
